Cabeza
Para la exploración clínica de cabeza y cuello se utilizan las 4 técnicas básicas de la exploración: inspección, palpación, percusión y auscultación. La inspección y la palpación son las más utilizadas es esta región; la percusión y la auscultación se utilizan en el sentido que existen casos en los que no se deben omitir.
En algunas enfermedades estos dos métodos no son de utilidad diagnóstica.
Instrumentos: estetoscopio (para auscultar), oftalmoscopio (fondoscopía), otoscopio (nariz y oído externo), lámpara (senos paranasales, cavidad oral y faringe), baja lenguas, diapasón (utilizado para explorar sensibilidad vibratoria –para todo examen neurológico de cualquier parte del cuerpo-; en cabeza y cuello se necesitan para hacer las Pruebas de Weber y Rinne, explorando así la intensidad de huesos del cráneo, de la cara y oído y la capacidad auditiva).
Inspección:
• Palidez(anemia)
• Cianosis(cardiopatía o neumopata)
• Pletora(policitemia o hipertenso)
• Caquexia(desnutrición o cáncer)
• Higiene(piel, dentadura y pelo)
Ubicación: Derecha(lado), de frente y atrás del paciente.
(Todos los métodos exploratorios son a la derecha del paciente, excepto en ciertas áreas)
Todo examen físico debe de ser ordenado, para no dejar escapar una región sin examinar. En general, el examen físico de cabeza y cuello es desde arriba hacia abajo. A veces se cambia el orden cuando se debería iniciar primero cierto procedimiento. En cabeza y cuello se desarrolla en este orden:
- Cráneo, en donde se inspecciona, palpa, percute y ausculta; cuero cabelludo; orejas; cara, observando el aspecto general y facies; ojos; párpados, pestañas y cejas, en dónde se observan elementos clínicos importantes para el diagnóstico definitivo o puede de carecer de elementos clínicos que nos ayuden a descartar un diagnóstico; nariz, la cual se inspecciona y palpan y transluminan los senos; boca, encías, dientes paladar, amígdalas; faringe; el cuello en general y luego cada una de las regiones, las arterias carótidas, yugulares internas, tráquea, ganglios y tiroides. Cada uno de los elementos mencionados debe describirse detalladamente.
- Tamaño: normal, microcefalia (menor a lo normal) y macrocefalia (mayor a lo normal). Este apartado es de importancia pediátrica, para conocer el tamaño del cráneo en proporción a la edad. Proporcionalmente la cabeza de un RN es más grande que la de un niño, y a su vez, más grande que la de un adulto. Adulto = 1/9 volumen total del cuerpo, Niño = 40%, RN = 30%.
- Simetría: que se define como la igualdad entre el lado izquierdo y derecho de un órgano.
- Forma: normal o patológica. Si es patológico se describe el tipo de anomalía que se observa. E.g. oxicefalia, dolicocefalia o turricefalia
- Anomalías: prominencias o depresiones. Craneóstosis. Se describen las regiones anatómicas como las conocemos: en el cráneo las regiones se describen según el hueso subyacente (región frontal, parietal, temporal, etc.), en el abdomen son cuadrantes (fosa ilíaca, hipogastrio derecho, etc.). Se debe describir la región especifica de la anomalía.
Cuero Cabelludo
En el cuero cabelludo el método exploratorio más importante es la palpación.
Para examinar el cuero cabelludo se debe separar el cabello para buscar y describir cicatrices, lesiones, abrasiones, escaras, nódulos, quistes sebáceos, etc., mencionando su localización y tamaño (lo más aproximado posible y en mm. o cm.). El tamaño es importante describirlo en masas, quistes, nódulos, tumores, desde su inicio hasta que consulta, con el objetivo de conocer su evolución. En general, los procesos malignos son de crecimiento rápido, mientras que los procesos benignos son de crecimiento lento.
Lo segundo, se debe describir la presencia o no de seborrea, y de ella describir su cantidad (escasa o abundante) y la región, y si no se encuentra, se menciona su negación. Las patologías se deben de describir en el examen físico como presentes o ausentes, por ejemplo "no se aprecia seborrea". Se debe negar, porque si no se niega no sabemos si es que el paciente no tiene o no se buscó.
Tercero, pediculosis. Se describe la presencia de ectoparásitos o se niega su presencia. También se describe cantidades (escasas o abundantes).
Cabello
Las características del cabello nos permiten muchas veces confirmar o sospechar la presencia de una enfermedad. Se describe:
- Color: negro, castaño, rojo, rubio, etc. Este aspecto no es diagnóstico en algunos casos, a menos que tenga condiciones especiales: canicie prematura o mechones blancos son característicos del Síndrome de Wallenburg.
- Consistencia: fino, grueso o normal. La consistencia depende muchas veces de tintes, que cambian las características del cabello, puede ser áspera por tintes previos; se debe preguntar si el paciente se tiñe el cabello. Si el paciente no se tiñe el cabello y es grueso, áspero y se desprende con facilidad, puede ser sospecha de hipotiroidismo (acompañado de adinamia, somnolencia, debilidad), y si es fino, sedoso y fácilmente desprendible, puede ser indicativo de hipertiroidismo.
- Cantidad: normal, escasa, abundante. Cuando el cabello es escaso (alopecia difusa) es importante preguntar al paciente si su cabello siempre ha sido escaso, esto puede indicar normalidad o consecuencia a una enfermedad. A la pérdida de cabello difusa o circunscrita se le conoce con el nombre de alopecia. Cuando exista alopecia debe describirse el tipo. La alopecia puede ser siempre clasificada como: 1) Universal, en dónde no se observa cabello y vello en ninguna parte del cuerpo, 2) androgénica, en donde se observan escaso o ningún cabello en ambos lados del hueso frontal (entradas a ambos lados de la frente), hereditaria y secundaria a un defecto androgénico hereditario o a hipo o hipergonadismo, 3) aleata, en donde se forma un espacio alopécico (como moneda) en uno o varios lugares del cráneo, 4) difusa, en donde se observa escasez generalizada. La alopecia puede apreciarse en la sífilis secundaria como una mordida en la coronilla.
- Carácter: liso, ondulado o rizado, natural o artificial, seco o grasoso. Si está seco preguntar si recientemente se ha lavado el cabello.
- Implantación: normal o fácilmente desprendible, y el nivel de implantación es muy alto o bajo en el cuello. Hay condiciones, sobretodo congénitas, en las que la implantación del cabello en la nuca es muy baja y puede sugerir a un dgx.
Cara
En la cara debemos describir si es simétrica, si los movimientos son normales, las facies, si hay anomalías en la piel y a qué nivel como edema angioneurótico o edema facial, rash malar, acné, urticaria gigante o enfermedad el Quincke etc. Cualquier enfermedad o anomalía debe describirse.
Lesiones de la piel de la cabeza

A menudos encontamos lesiones de la piel en el cuero cabelludo tales como son:
Nevo Pigmentado (Es un parche de piel de color oscuro y a menudo peludo presente al nacer).
Nevo de Unión (Los nevos de unión son máculas negruzcas . La mayoría aparece en la infancia y evolucionan a nevos compuesto o dérmico, excepto los de las palmas, plantas y genitales que pueden persistir como tales)
Nevo intradermico: Se caracteriza por tener nidos de union o escaso y por gran cantidad de celulas en la dermis.
Nevo Compuesto .(los nidos están en la zona de unión y en la dermis superficial. El componente de unión es idéntico al del nevo de unión y el dérmico está constituido por nidos o melanocitos en cordones o trabeculas.
Nevo Azul o nevo coeruleus es una pequeña mancha o pápula pigmentada adquirida, de bordes definidos, que está constituida por acúmulos de células nevicas cargadas de melanina. es naturaleza benigna y consistencia firme, se diferencia del nevo melanocitico, por ser de color gris o azul oscuro, debido a su localización dérmica. Pueden localizarse en cualquier zona del cuerpo, aunque es más frecuente en dorso de manos y pies.
Cabeza
Para la exploración clínica de cabeza y cuello se utilizan las 4 técnicas básicas de la exploración: inspección, palpación, percusión y auscultación. La inspección y la palpación son las más utilizadas es esta región; la percusión y la auscultación se utilizan en el sentido que existen casos en los que no se deben omitir.
En algunas enfermedades estos dos métodos no son de utilidad diagnóstica.
Inspección:
• Palidez(anemia)
• Cianosis(cardiopatía o neumopata)
• Pletora(policitemia o hipertenso)
• Caquexia(desnutrición o cáncer)
• Higiene(piel, dentadura y pelo)
Cara
En la cara debemos describir si es simétrica, si los movimientos son normales, las facies, si hay anomalías en la piel y a qué nivel como edema angioneurótico o edema facial, rash malar, acné, urticaria gigante o enfermedad el Quincke etc. Cualquier enfermedad o anomalía debe describirse.
Lesiones de la piel de la cabeza

A menudos encontamos lesiones de la piel en el cuero cabelludo tales como son:
Nevo intradermico: Se caracteriza por tener nidos de union o escaso y por gran cantidad de celulas en la dermis.
Lesiones de la piel de la cabeza
Nevo Pigmentado (Es un parche de piel de color oscuro y a menudo peludo presente al nacer).
Nevo de Unión (Los nevos de unión son máculas negruzcas . La mayoría aparece en la infancia y evolucionan a nevos compuesto o dérmico, excepto los de las palmas, plantas y genitales que pueden persistir como tales)
Nevo intradermico: Se caracteriza por tener nidos de union o escaso y por gran cantidad de celulas en la dermis.
Nevo Compuesto .(los nidos están en la zona de unión y en la dermis superficial. El componente de unión es idéntico al del nevo de unión y el dérmico está constituido por nidos o melanocitos en cordones o trabeculas.
Nevo Azul o nevo coeruleus es una pequeña mancha o pápula pigmentada adquirida, de bordes definidos, que está constituida por acúmulos de células nevicas cargadas de melanina. es naturaleza benigna y consistencia firme, se diferencia del nevo melanocitico, por ser de color gris o azul oscuro, debido a su localización dérmica. Pueden localizarse en cualquier zona del cuerpo, aunque es más frecuente en dorso de manos y pies.
Melanoma maligno:
Es frecuente que el primer signo de un melanoma maligno sea la aparición de metástasis. Sin embargo, cualquier cambio en tamaño, ulceración, irritación, hemorragia o profundización de la pigmentación debe considerarse como signo potencial de malignidad en un nevo y justifica una biopsia extirpadora amplia.
.jpg)
se clasifica en:
De diseminación superficial:
Estas alteraciones son elevadas, casi circulares en su contorno, y tienen una combinación característica de colores tostados (color de canela), castaño, negro y rosado azulado. Algunas áreas aparecen distintamente blancas, y otras azules. Una sombra de color gris obscuro sugiere crecimiento invasor.
Melanoma nodular:
Este consiste en un nódulo localizado, elevado, azul o negro. Puede verse como un arándano exactamente debajo de la epidermis, o puede estar ulcerado. En la mayor parte de los casos, la lesión es profundamente invasora y los nódulos linfáticos regionales con frecuencia son palpables y casi siempre se afectan.
Melanoma lentigo:
Esta es una lesión de diseminación superficial que suele ser mucho mayor que el melanoma de diseminación superficial. Su color predominante es castaño a negro, si el color rosado, blanco azulado de la diseminación superficial. Nódulo de color azul obscuro indica una etapa tardía.

Melanoma juvenil:
Es fácil que uno nevo plano que aumenta de tamaño en la infancia sea un melanoma juvenil. No tiene pelo y puede ser levantado o incluso verrugoso. Rara vez se ulcera. El punto clínico importante es que, en una biopsia de la lesión, pueden encontrarse figuras mitóticas y alteraciones de unión marcadas, sugestivas de melanoma maligno. Es extremadamente raro que estas lesiones den metástasis en la infancia y, en general, deben considerarse como benignas.
Queratosis senil
Las personas de piel clara y ojos azules tienen tendencia a desarrollar lesiones escamosas de color pardo susceptibles de degenerar en cáncer epidermoide. Al principio estas lesiones parecen simples pecas, pero más tarde aparecen excrecencias verrugosas de color pardo; estas se descaman y dejan una costra superficial húmeda que rápidamente se recubre de un nuevo crecimiento de escamas parduscas.
Queratosis seborreica
Se trata de una lesión precancerosa que aparece en edad avanzada en forma de nódulo verrugoso superficial de color pardusco recubierto de escamas grasosas y húmedas. Si hay aumento progresivo de volumen, la lesión puede representar la primera etapa de un carcinoma.
Cáncer epidermoide
El cáncer cutáneo aparece con frecuencia en el cuello, cara y cuero cabelludo. Al principio, constituye un pequeño engrosamiento móvil y ligeramente elevado de la piel, con descamación superficial. Pronto se ulcera. Más tarde constituye una ulceración dura, excavada, con base necrótica que produce exudación considerable. A medida que la enfermedad progresa, la lesión se fija a la aponeurosis subyacente y planos musculares de la región. Pueden estar invadidos los ganglios linfáticos locales.
Carcinoma de células basales
Esta lesión suele aparecer alrededor de los ojos, oídos y nariz. Al principio parece un granito de color gris perlino. Cuando aumenta tiene borde firme y elevado, que puede extenderse mas allá de la zona de ulceración. La superficie de la ulcera se parece a la que hemos descrito para el cáncer epidermioide, pero la lesión celular basal queda indicada por un borde que va extendiéndose mas allá de la zona de ulceración y por la falta de fijación a los planos profundos. En casos avanzados o no tratados pueden estar invadidos la fascia, los músculos y los huesos subyacentes. Las metástasis en los ganglios linfáticos son muy raras.
Melanoma maligno:
Es frecuente que el primer signo de un melanoma maligno sea la aparición de metástasis. Sin embargo, cualquier cambio en tamaño, ulceración, irritación, hemorragia o profundización de la pigmentación debe considerarse como signo potencial de malignidad en un nevo y justifica una biopsia extirpadora amplia.
.jpg)
se clasifica en:
De diseminación superficial:

Este consiste en un nódulo localizado, elevado, azul o negro. Puede verse como un arándano exactamente debajo de la epidermis, o puede estar ulcerado. En la mayor parte de los casos, la lesión es profundamente invasora y los nódulos linfáticos regionales con frecuencia son palpables y casi siempre se afectan.

Melanoma lentigo:

Melanoma juvenil:
Es fácil que uno nevo plano que aumenta de tamaño en la infancia sea un melanoma juvenil. No tiene pelo y puede ser levantado o incluso verrugoso. Rara vez se ulcera. El punto clínico importante es que, en una biopsia de la lesión, pueden encontrarse figuras mitóticas y alteraciones de unión marcadas, sugestivas de melanoma maligno. Es extremadamente raro que estas lesiones den metástasis en la infancia y, en general, deben considerarse como benignas.

Queratosis senil
Las personas de piel clara y ojos azules tienen tendencia a desarrollar lesiones escamosas de color pardo susceptibles de degenerar en cáncer epidermoide. Al principio estas lesiones parecen simples pecas, pero más tarde aparecen excrecencias verrugosas de color pardo; estas se descaman y dejan una costra superficial húmeda que rápidamente se recubre de un nuevo crecimiento de escamas parduscas.

Queratosis seborreica
Se trata de una lesión precancerosa que aparece en edad avanzada en forma de nódulo verrugoso superficial de color pardusco recubierto de escamas grasosas y húmedas. Si hay aumento progresivo de volumen, la lesión puede representar la primera etapa de un carcinoma.

Cáncer epidermoide
El cáncer cutáneo aparece con frecuencia en el cuello, cara y cuero cabelludo. Al principio, constituye un pequeño engrosamiento móvil y ligeramente elevado de la piel, con descamación superficial. Pronto se ulcera. Más tarde constituye una ulceración dura, excavada, con base necrótica que produce exudación considerable. A medida que la enfermedad progresa, la lesión se fija a la aponeurosis subyacente y planos musculares de la región. Pueden estar invadidos los ganglios linfáticos locales.

Carcinoma de células basales
Esta lesión suele aparecer alrededor de los ojos, oídos y nariz. Al principio parece un granito de color gris perlino. Cuando aumenta tiene borde firme y elevado, que puede extenderse mas allá de la zona de ulceración. La superficie de la ulcera se parece a la que hemos descrito para el cáncer epidermioide, pero la lesión celular basal queda indicada por un borde que va extendiéndose mas allá de la zona de ulceración y por la falta de fijación a los planos profundos. En casos avanzados o no tratados pueden estar invadidos la fascia, los músculos y los huesos subyacentes. Las metástasis en los ganglios linfáticos son muy raras.

Quiste sebáceo: Es un saco cerrado bajo la piel lleno con una material de apariencia caseosa o aceitosa. Suelen aparecer en el cuero cabelludo, por detrás de la orejas, y en cara y cuello. Constituyen un nódulo liso redondeado adherido a la piel que lo recubre.
Quistes dermoides: Es la presencia de tumores benignos similares a verrugas en la superficie de la piel. Los quistes epiteliales de inclusión simulan los lobanillos, pero son mucho menos frecuentes. Se observan en puntos de fusión del ectodermo en el desarrollo fetal; por lo tanto suelen presentarse en la línea media del cuello, en la piel de la frente o del cuero cabelludo, y en ángulos externos de la hendidura palpebral.

Papiloma pigmentado (verruga senil): Esta lesión suele aparecer después de los 40 años de edad, para aumentar lentamente de volumen, constituyendo nódulos pedunculados de color pardo y superficie finamente arrugada. Son únicos o aparecen por grupos en cara, cuello y tronco. No guarda relación con nevo pigmentado, aunque se han confundido con él.

Cáncer metastásico: Es frecuente la aparición de nódulos de cáncer en el cuero cabelludo y en el cuello, las lesiones pueden parecerse muchos a los quistes epiteliales. Mientas no se demuestre lo contrario, un lobulillo que aparece bruscamente en la piel del cráneo o del cuero cabelludo en una persona que se sabe tiene cáncer, debe considerarse lesión metastásica. Las metástasis del cráneo suele aparecer en forma de nódulos redondeados, liso, que parecen quistes benignos del cuero cabelludo.
Quiste sebáceo: Es un saco cerrado bajo la piel lleno con una material de apariencia caseosa o aceitosa. Suelen aparecer en el cuero cabelludo, por detrás de la orejas, y en cara y cuello. Constituyen un nódulo liso redondeado adherido a la piel que lo recubre.
Quistes dermoides: Es la presencia de tumores benignos similares a verrugas en la superficie de la piel. Los quistes epiteliales de inclusión simulan los lobanillos, pero son mucho menos frecuentes. Se observan en puntos de fusión del ectodermo en el desarrollo fetal; por lo tanto suelen presentarse en la línea media del cuello, en la piel de la frente o del cuero cabelludo, y en ángulos externos de la hendidura palpebral.


Papiloma pigmentado (verruga senil): Esta lesión suele aparecer después de los 40 años de edad, para aumentar lentamente de volumen, constituyendo nódulos pedunculados de color pardo y superficie finamente arrugada. Son únicos o aparecen por grupos en cara, cuello y tronco. No guarda relación con nevo pigmentado, aunque se han confundido con él.

Cáncer metastásico: Es frecuente la aparición de nódulos de cáncer en el cuero cabelludo y en el cuello, las lesiones pueden parecerse muchos a los quistes epiteliales. Mientas no se demuestre lo contrario, un lobulillo que aparece bruscamente en la piel del cráneo o del cuero cabelludo en una persona que se sabe tiene cáncer, debe considerarse lesión metastásica. Las metástasis del cráneo suele aparecer en forma de nódulos redondeados, liso, que parecen quistes benignos del cuero cabelludo.


Ojos.
Es necesario investigar la integridad anatómica de los ojos y de sus funciones.
Examen de los ojos.
Cejas. Pacientes con hipotiroidismo puede presentar una pérdida de la cola de las cejas (es conveniente asegurarse que no sea porque se las depila), cantidad,disposición.
Pestañas

• Son pelos largos sobre todo parpado superior dispuesto en una fila.
• Longitud aumenta en (diabetes mellitus, hipertrofia).
• La madarosis es la desaparición definitiva de las pestaña.(blefaritis ulcerosa)
Párpados. Interesa ver si funcionan en forma simétrica o si existen lesiones en ellos. Si el paciente no puede abrir un ojo, o lo logra en forma parcial, se puede deber a edema (p.ej.: por una alergia), una sufusión de sangre (p.ej.: por un traumatismo), porque existe un problema muscular (p.ej.: por miastenia gravis) o neurológico (p.ej.: por compromiso del nervio oculomotor).
Edema unilateral
• Absceso
• Orzuelo (zeiss ,moll)
• Chalazión(meibonio)
• Blefaritis
• Conjuntivitis (gonococo)
• Globo ocular (glaucoma
• sinusitis
Edema bilateral
• aumento de la presión hidrostática (HTA maligna)
• Hipoproteinemia (nefrosis, edema caquéctico)
• Retención de sodio y agua(síndrome de cushing)
La caída del párpado superior se conoce como ptosis palpebral.

Ectropión es cuando el párpado, especialmente el inferior, está evertido (dirigido hacia afuera) y las lágrimas no logran drenar por el canalículo y el ojo lagrimea constantemente (epífora). Entropión es cuando los párpados están vertidos hacia adentro y las pestañas irritan la cornea y la conjuntiva.

Un orzuelo es la inflamación del folículo de una pestaña, habitualmente por infección estafilocócica.

Chalazión es una inflamación crónica de una glándula meibomiana (son glándulas que se ubican en el interior de los párpados y drenan hacia el borde de ellos).

Pueden verse lesiones solevantadas y de color amarillento, especialmente hacia los ángulos internos de los ojos, que se conocen como xantelasmas y se deben a un trastorno del metabolismo del colesterol.

Cuando el paciente no puede cerrar bien un ojo (p.ej.: por parálisis del nervio facial), y el párpado no cubre bien el globo ocular, se produce un lagoftalmo; esta condición puede llegar a producir una úlcera corneal por falta de lubricación.

Una blefaritis es una inflamación aguda o crónica de los párpados. Se puede deber a infecciones, alergias o enfermedades dermatológicas.

Un epicanto es un pliegue vertical en el ángulo interno del ojo. Se ve en algunas razas asiáticas y en personas con síndrome de Down (mongolismo).

Conjuntivas. La palpebral se observa traccionando el párpado inferior hacia abajo. Normalmente es rosada y en caso de existir anemia se puede observar pálida.
La conjuntivitis es una inflamación o infección de las conjuntivas. Los ojos se ven irritados, con aumento de la vasculatura (hiperémicos) y se encuentra una secreción serosa o purulenta.

La hemorragia subconjuntival compromete la conjuntiva bulbar y da un color rojo intenso; no se extiende más allá del limbo corneal.

El pterigión (o pterigio) es un engrosamiento y crecimiento de la conjuntiva bulbar, habitualmente en el lado interno del ojo, que puede invadir la córnea desde el limbo corneal. Es frecuente en personas que trabajan expuestas a luz solar, y por lo tanto, a ondas ultravioleta.

Hay que diferenciar esta condición de la pinguécula que es una especia de carnosidad amarillenta que aparece en la conjuntiva bulbar, en el lado nasal o temporal.

La epiescleritis es una inflamación de la epiesclera que es una capa de tejido que se ubica entre la conjuntiva bulbar y la esclera; se debe habitualmente a una causa autoinmune.

La dacriocistitis es una inflamación del saco lagrimal y se ve un aumento de volumen entre el párpado inferior y la nariz; el ojo presenta lagrimeo constante (epífora).

En la xeroftalmía existe falta de lágrimas y el ojo se irrita. Se ve en la enfermedad de Sjögren, que es de naturaleza autoinmune.

Esclera.
Normalmente se ve de color blanco. Cuando existe ictericia, aparece un color amarillento. Para detectar este signo, la bilirrubina requiere ser de 2 a 3 mg/mL. El examen debe efectuarse con luz natural por ser de color blanco. Cuando se examina con la luz artificial, que con frecuencia da una coloración amarillenta, este signo podría pasar desapercibido.

Es importante fijarse si es transparente, si existen opacidades, la curvatura que tiene. Es conveniente fijarse si el paciente está con lentes de contacto ya que tienden a desplazarse al tocar los ojos durante el examen. La sensibilidad se examina con una tórula de algodón (cuidando que no deje pelusas): se toca ligeramente el borde de la córnea y se debe obtener como respuesta un parpadeo (reflejo corneal). Pueden existir opacidades como producto de la cicatrización de lesiones traumáticas o ulceraciones. En el margen de la córnea se pueden apreciar cambios de coloración que dan lugar a lesiones en forma de anillo, como el arco senil o arco corneal, que se observa en personas mayores o en personas más jóvenes que tienen un trastorno del metabolismo de los lípidos.Córnea.
El anillo de Kayser-Fleischer se observa en enfermedades del metabolismo del cobre.

Globo acular
• Están ubicado dentro de la cavidad orbitaria.
• Exoftalmos (hipertiroidismo)
Iris y pupila.
Se examina la forma de las pupilas, su tamaño y su reactividad a la acomodación y la luz. Se aprecia la pigmentación del iris. Se debe buscar si las pupilas están chicas (mióticas), dilatadas (midriáticas), de distinto tamaño entre ellas (anisocoria), de forma alterada (discoria).
Algunos medicamentos, como las gotas de pilocarpina que se usan en el tratamiento de glaucoma, determinan que las pupilas estén muy mióticas. Otros medicamentos, como los que tienen acción atropínica, tienden a dilatarlas. También logran este efecto las emociones.
El reflejo de acomodación se busca solicitando al paciente que mire un punto distante y luego uno cercano (por ejemplo, la punta de un lápiz, a 10 o 15 cm de distancia), y viceversa. En la visión cercana las pupilas se achican y los ojos convergen; en la visión distante las pupilas se dilatan.

El reflejo a la luz se busca iluminando la córnea tangencialmente, desde un lado, con lo que las pupilas deben achicarse: en el lado iluminado se aprecia el reflejo directo y en el otro, el consensual. Cuando está presente el reflejo a la luz, habitualmente siempre está presente el de acomodación.
La pupila de Argyll-Robertson se caracteriza porque se ha perdido el reflejo a la luz, pero se mantiene el de acomodación; se observa en neurosífilis.

El síndrome de Horner (o de Claude-Bernard-Horner) se caracteriza porque en un lado de la cara se observa una pupila miótica y una ptosis del párpado superior. También puede presentarse enoftalmos (globo ocular más hundido) y anhidrosis (falta de sudoración), de la mitad de la frente del lado comprometido. Se debe a una lesión a nivel del simpático cervical (p.ej.: un cáncer bronquial que invade el plexo braquial y la inervación simpática del cuello).

El exoftalmos es una condición en la cual los globos oculares protruyen de la órbita. Se ve en cuadros de bocio asociados a hipertiroidismo (enfermedad de Basedow-Graves). En los hipertiroidismos también se observa una discreta retracción del párpado superior con lo que aumenta la apertura palpebral. Al solicitar al paciente que siga con la vista el dedo del examinador mientras éste lo desplaza de arriba abajo, se logra ver el blanco de la esclera sobre el iris (signo de Graefe). La convergencia de los ojos también se compromete.

Debe ser transparente para dejar pasar la luz. Sus opacidades se denominan cataratas y dificultan la visión. Cumple una función muy importante en la agudeza visual al ayudar a enfocar las imágenes en la retina.Cristalino.
Examen del fondo del ojo. Para esta parte del examen se usa un oftalmoscopio que es un instrumento provisto de una fuente de luz y un juego de lentes con distintas dioptrías, que el examinador selecciona para enforcar la retina. Hay oftalmoscopios que entregan distintos haces de luz: un círculo de luz blanca, otro con un círculo más pequeño (algunos lo prefieren cuando las pupilas están mióticas), uno con una rejilla sobreproyectada (para efectuar mediciones), otro con luz verde (para identificar algunas lesiones de color rojo), uno que proyecta sólo un semicírculo de luz (con lo que se evitan algunos reflejos) y, por último, una luz en hendidura (para examinar aspectos específicos). El haz más usado es el de luz blanca. También, en algunos instrumentos, es posible graduar la intensidad de la luz. El juego de lentes está dispuesto en una rueda giratoria. Partiendo de una lente neutra, sin dioptrías (lente 0), hacia un lado se disponen aquellas que producen una convergencia de la luz (se identifican de color negro, llegan al número +40 y se seleccionan girando la rueda en el sentido de los punteros del reloj); hacia el otro lado están dispuestas aquellas que producen una divergencia de la luz (se identifican de color rojo, llegan al número -20 y se seleccionan girando la rueda en sentido contrario a los punteros del reloj). Estas lentes van a corregir los errores de refracción tanto del paciente como del examinador. No corrigen los defectos debido a astigmatismo (diferente curvatura de los meridianos de medios refringentes que impiden la convergencia en un solo foco). Si el examinador usa normalmente lentes ópticos, habitualmente efectúa el examen sin ellos, corrigiendo su defecto con las lentes del instrumento. En los casos en que no se logra una buena visión, se puede ensayar el examen con los lentes ópticos puestos (esto es válido tanto para el paciente como para el examinador).

En los paciente hipermétropes, en los que la imagen se tiende a formar por detrás de la retina, se usan lentes positivos, convergentes, que son de color negro, y se seleccionan en sentido horario. Los mismo es válido para pacientes afáquicos (sin cristalino). En los miopes, en quienes se forma la imagen por delante de la retina, se usan lentes negativos, divergentes, que se identifican con color rojo, y se seleccionan en sentido antihorario.
El examen debe ser efectuado en un ambiente oscuro, con lo que las pupilas de dilatan y se evitan brillos externos. En muchos pacientes es necesario usar gotas que dilaten las pupilas (midriáticos). Si se usan, se debe tener el cuidado que el paciente no tenga glaucoma ni una cámara anterior poco profunda (esto se puede evaluar iluminando lateralmente el ojo y fijándose si el iris se proyecta hacia adelante, generando una sombra en el lado nasal).
Para examinar el ojo izquierdo del paciente, el examinador toma el oftalmoscopio con su mano izquierda y mira con su ojo izquierdo. Para examinar el ojo derecho del paciente, el examinador toma el oftalmoscopio con su mano derecha y mira con su ojo derecho. La cabeza de ambos debe estar aproximadamente a la misma altura (sentados en sillas que se enfrentan lateralmente o el paciente sentado en la camilla, si ésta es alta, y el médico de pie). Para evitar oscilaciones entre ambos, conviene que el examinador apoye su mano en el hombro o la cabeza del paciente.
Antes de comenzar el examen conviene revisar el haz de luz y su intensidad. Además, se parte con el lente con 0 dioptrías (salvo que el examinador use lentes y ya conozca la corrección con la que debe partir).
El paciente debe estar en todo momento con su vista dirigida hacia adelante, mirando un punto distante, y no debe mover los ojos, aunque el examinador con su cabeza se interponga en su campo visual. Se comienza el examen buscando el "rojo pupilar" que es el color rojo de la retina visto a través de la pupila cuando los medios de refracción son transparentes. En el caso de existir una catarata del cristalino, este reflejo no se va a ver. El examinador mira el ojo del paciente a través del oftalmoscopio, que debe estar prendido y con el lente 0 seleccionado, desde una distancia de 30 cm y con un ángulo de unos 15º lateral a la línea de visión del paciente. Sin dejar de mirar el rojo pupilar, el examinador se acerca hasta casi tocar las pestañas del paciente. Esto requiere un entrenamiento para no dejar de iluminar la pupila. A esa distancia es posible mirar dentro del ojo e identificar las estructuras del segmento posterior. Conviene acostumbrarse a efectuar este examen con ambos ojos abiertos.
En primer lugar se busca el disco óptico. Si lo que primero que se ve son vasos sanguíneos, se sigue su trayectoria hacia el centro hasta identificar el disco óptico. Si no se ve nítido, es necesario girar la rueda de lentes con el dedo índice, hasta encontrar el lente adecuado.
El disco o papila óptica corresponde a la entrada del nervio óptico en el segmento posterior del ojo. Se ve como una formación redonda, amarillo o rosado-crema, de 1,5 mm, de bordes nítidos (especialmente en el lado temporal). Es posible encontrar ocasionalmente algún grado de pigmentación en el borde. El diámetro de la papila óptica sirve como parámetro de medición. Por ejemplo, una lesión en la retina puede medir la mitad del diámetro papilar y estar a dos diámetros de distancia del disco, en una posición correspondiente a las 1:30 horas de la esfera del reloj.
Desde la papila óptica salen las arterias y venas retinianas que se dirigen hacia la periferia, cubriendo los cuatro cuadrantes que es necesario recorrer durante el examen. Las arterias son de color más rojo y discretamente más delgadas que las venas (relación 3:5 a 2:3); de ellas se distingue la columna de sangre y el reflejo que produce la luz en su dorso (ocupa 1/4 del diámetro de la columna de sangre), ya que las paredes mismas no se distinguen. En algunos puntos se producen cruces arteriovenosos, que normalmente no presentan constricciones. La retina debe ser de color rosado o amarillento, sin exudados ni hemorragias. Hacia el lado temporal del disco óptico, a unos dos diámetros de distancia, se encuentra la fóvea o mácula lútea, que es la sede de la visión central. Para inspeccionarla se desvía la luz hacia el lado o se le pide al paciente que mire directamente la luz del oftalmoscopio. Al final del examen, el paciente queda encandilado durante unos segundos.
Esquema de un oftalmoscopio.Hallazgos del examen de fondo de ojo en algunas enfermedades.
Foto de un examen de fondo de ojo.
Foto de una retina normal.
En algunas enfermedades se producen cambios de estructuras del fondo del ojo, bastante específicas, que conviene saber identificar.
Hipertensión endocraneana. Se produce un edema de la papila óptica y sus márgenes se ven difuminados; tiene más valor cuando el margen temporal ha perdido su nitidez.
Retinopatía hipertensiva. En hipertensión arterial, las arterias se estrechan, y la relación respecto a las venas aumenta. En los cruces arteriovenosos se produce una constricción porque la arteria y la vena comparten una adventicia común. En etapas más avanzadas se ven exudados y hemorragias superficiales en la retina.

Retinopatía Diabetica. Cerca de las arterias se ven unos puntos oscuros que corresponden a microaneurismas. En casos más avanzados, aparecen exudados, hemorragias, vasos de neoformación.
El segmento anterior del ojo se puede examinar con el oftalmoscopio como si fuera una lupa usando los lentes +10 o +12 que enfocan estructuras más anteriores.

Tensión ocular. Por el examen clínico se puede apreciar la presión intraocular pidiendo al paciente que cierre los ojos y luego se apoyan los dedos índice y medio sobre el párpado superior para presionar con delicadeza con los dedos en forma alternada. Se compara la presión de un ojo con respecto al otro. La medición exacta de la presión intraocular se efectúa con un tonómetro. Lo normal son 12 a 22 mm de Hg. En los glaucomas la presión intraocular está elevada.
Movimientos de los ojos. Se pide al paciente que mire en distintas direcciones, o que siga con su mirada el dedo índice de examinador mientras éste lo desplaza en forma vertical, lateral u oblicua. Conviene fijarse si los ejes de los globos oculares mantienen un adecuado paralelismo durante el desplazamiento. Si esto no ocurre, podría evidenciarse un estrabismo y el paciente relatar diplopía.

Estrabismo. Se debe a una falta de paralelismo de los ejes de los globos oculares. Puede dar lugar a una visión doble que se conoce como diplopía. Los estrabismos pueden ser noparalíticos o paralíticos.

Estrabismos noparalíticos. Se debe a un desbalance de los músculos extraoculares del ojo. Puede ser hereditario o aparecer en la niñez. Los ojos mantienen su capacidad de ver. El paciente puede enfocar con cada ojo por separado, pero no con ambos en forma simultánea. Se distingue un estrabismo convergente (esotropía o esoforia), cuando el ojo desviado mira hacia el lado nasal, mientras el otro ojo está enfocando hacia adelante, y un estrabismo divergente (exotropía), cuando el ojo desviado mira hacia el lado temporal, mientras el otro ojo está enfocando hacia adelante. Es frecuente que cada ojo enfoque en forma alternante. Esta condición puede ser mínima y se investiga con una prueba que consiste en cubrir y descubrir un ojo (habitualmente el ojo dominante) o cubrir uno y otro en forma alternada. Paciente y examinador deben estar mirándose mutuamente. Si hay estrabismo, al obstruir la visión de un ojo, el otro debe girar para enfocar (automáticamente, también ocurre un giro en el ojo que se ocluye). Si se tapa el otro ojo, el primero, el que queda descubierto, nuevamente debe girar para enfocar. De no haber estrabismo, no ocurrirían estos movimientos. Si se apunta con una linterna hacia los ojos desde unos 30 a 50 cm y en forma equidistante, el reflejo de la luz sobre la córnea debe caer en puntos equivalentes. Si hay estrabismo, la posición del reflejo de la luz será diferente en cada ojo.
Estrabismos paralíticos. Se debe a una parálisis o paresia de uno o más músculos extraoculares. En el examen se busca la dirección de la mirada que maximiza el estrabismo.
El nistagmo son sacudidas repetidas de los ojos, con una fase lenta en una dirección y otra rápida, en la dirección opuesta. Esta oscilación se puede ver en distintas direcciones: vertical, horizontal, rotatorio o mixto. La dirección del nistagmo se define por la fase rápida. Afecciones del cerebelo y del sistema vestibular, con frecuencia, son responsables de estos movimientos, aunque pueden haber otras causas. El nistagmo puede acompañarse de sensación de vértigo, llegando incluso al vómito. Durante el examen, se tratan de evitar miradas laterales muy extremas en las que, con alguna frecuencia, aparecen oscilaciones nistágmicas sin importancia.

Agudeza visual. Se examina la visión de lejos y de cerca. La ceguera de un ojo sin lesión aparente (p.ej.: por daño de la retina, del nervio óptico o el cerebro) se llama amaurosis. Una visión reducida, sin lesión aparente del ojo, se llama ambliopía. Defectos de los medios de refracción dan origen a: miopía (cortedad de la vista), hipermetropía (dificultad para ver con claridad los objetos situados cerca de los ojos), presbiopía o presbicia (hipermetropía adquirida con la edad; de cerca se ve mal y de lejos, mejor)
Evaluación de la visión de lejos. Se utiliza la tabla de Snellen que consta de letras o símbolos de distinto tamaño. La persona que se evalúa se sitúa a 20 pies de distancia (unos 6 metros). Se examina cada ojo por separado. El resultado se expresa para cada ojo y se debe precisar si es con o sin lentes ópticos. Se trata de identificar hasta qué tamaño de letras la persona examinada logra leer desde esa distancia. La tabla, en cada línea, tiene un valor expresado como una fracción, en la que el numerador indica la distancia real (habitualmente 20 pies o unos 6 metros) y el denominador, la distancia a la que una persona con visión normal puede leer (las letras se van achicando de arriba hacia abajo). Lo normal es tener: 20/20 (a una distancia de 20 pies, se leen las letras de la línea 20/20). Si una persona es capaz de leer sólo hasta la línea 20/50, quiere decir que su agudeza visual de lejos está reducida, ya que lee a 20 pies de distancia lo que un normal lee a 50 pies. La tabla también contempla letras más chicas (20/15, 10/10) para personas de mayor agudeza visual o que, si están usado lentes, están sobrecorrigiendo. En niños y en personas analfabetas se usan símbolos o figuras en vez de letras. Una persona se podría considerar con ceguera legal si con su mejor ojo y con lentes logra leer sólo 20/200 o menos, o si su campo visual en el mejor ojo abarca menos de 20º.
Tabla de SnellenEvaluación de la visión de cerca. El examen debe ser de cada ojo por separado. Se puede solicitar a la persona que lea algún texto que contenga letras de distinto tamaño, con una buena iluminación y manteniendo una distancia entre el ojo y el texto de unos 35 cm. También existen tablas, como tarjetones, con las que se puede efectuar una medición que se expresa en equivalencias de distancia (p.ej.: 20/20), o en unidades Jaeger (p.ej.: el equivalente de la medición 20/30 en unidades Jaeger es J2). En pacientes que usan lentes, se debe precisar si fueron usados durante la evaluación para conocer el grado de corrección que se logra con ellos.
Tabla de RosenbaumEvaluación del campo visual por confrontación.
El examinador se coloca frente al paciente, separado por 1 metro de distancia. Se le solicita al paciente que se tape un ojo con una de sus manos, sin presionarlo, y que con el ojo que queda despejado mire directamente el ojo del examinador que servirá como patrón de comparación. El ojo derecho del paciente mira el ojo izquierdo del examinador (quien debe cerrar el otro ojo). A continuación el examinador separa sus brazos hacia los lados hasta el margen del campo visual de su ojo, dejando las manos equidistantes entre ambos. Luego mueve al azar los dedos de una y otra mano y le solicita al paciente que con su mano libre le indique en cual lado ve moverse los dedos. El examen debe recorrer el campo visual en toda la periferia. Después de examinar un ojo, se sigue con el otro. En esta forma de examinar, el campo visual del examinador sirve de modelo de referencia y es válido en la medida que sea normal.
Otra forma de efectuar este examen es que tanto paciente como examinador estén frente a frente, con sus ojos abiertos. El examinador abre sus brazos y ubica sus manos por detrás de las orejas del paciente, separadas de él. Luego va retirando los brazos hasta que sus dedos al moverse sean captados por el paciente. Si existe una hemianopsia de un lado temporal, se debe precisar qué pasa con los hemicampos de la mitad nasal. Se le pide al paciente que se tape un ojo y se avanza un dedo en dirección del hemicampo nasal del ojo despejado hasta que el paciente lo vea. Luego se repite la maniobra al otro lado.
Mediciones más finas se logran solicitando un examen de campo visual con instrumentación.
En personas comprometidas en su nivel de conciencia o que no pueden colaborar por algún motivo, se puede ejecutar una acción de amenaza acercando una mano en forma rápida por el lado de un ojo, sin llegar a tocar al paciente. Lo normal es que el paciente cierre ese ojo en forma refleja en la medida que su visión periférica detecta un objeto en movimiento. Si existe hemianopsia, esta respuesta no ocurrirá.
Entre las grandes alteraciones del campo visual que se pueden encontrar destacan:
- Una hemianopsia homónima de un lado: el paciente no reconoce movimientos en los dos hemicampos del lado comprometido. Este hallazgo apunta a una lesión del tracto, la radiación óptica o la corteza occipital en las áreas de percepción consciente, del lado opuesto a la hemianopsia.
- Una hemianopsia bitemporal: el paciente no reconoce movimientos en ninguno de sus hemicampos temporales. Esto sugiere una lesión que compromete la decusación de fibras a nivel del quiasma óptico (p.ej.: un tumor de la hipófisis que ha crecido hacia arriba, comprometiendo el quiasma).
- Una cuadrantopsia homónima. Esta es una lesión menos extensa que una hemianopsia ya que compromete la visión de un cuadrante de un mismo lado en cada ojo. Esto se puede deber a una lesión parcial en la radiación óptica.
Nariz
Examen de la nariz.Se debe observar la forma, la permeabilidad, si existen secreciones o descargas, el aspecto de la mucosa. Cuadros de rinitis alérgicas se acompañan de estornudos, congestión nasal bilateral, una mucosa de aspecto pálida o enrojecida y una descarga acuosa. En caso de un traumatismo con fractura de la base del cráneo (lámina cribiforme), puede producirse un goteo de líquido claro que corresponde a líquido cefaloraquídeo. En caso de epistaxis se trata de ver de dónde viene la sangre. Una sinusitis puede asociarse a descarga de secreción mucopurulenta. En niños con insuficiencia respiratoria es frecuente ver un "aleteo" nasal (movimiento de las alas de la nariz con cada inspiración). Con una linterna y presionando un poco la punta de la nariz, se observa el interior de cada fosa nasal. Esto puede ser más expedito ayudándose de un espéculo nasal (puede servir para esto el oftalmoscopio con el espéculo de mayor diámetro). Se trata de precisar el aspecto de la mucosa, las características de las secreciones que puedan existir, si existen pólipos, la alineación del tabique y el aspecto de la parte anterior de los cornetes medio e inferior. Los usuarios de cocaína pueden desarrollar úlceras.
Boca y orofaringe.
Labios. Se examina su aspecto y simetría. Entre las alteraciones que se pueden encontrar destaca el aumento de volumen por edema, cambios de coloración (p.ej.: palidez en anemia, cianosis en ambientes fríos, poliglobulia o hipoxemia), lesiones costrosas (p.ej.: en herpes simple), si están inflamados, secos y agrietados (queilitis), si existen "boqueras" (queilitis angular o estomatitis angular), fisuras (p.ej.: labio leporino), lesiones pigmentadas (p.ej.: en el síndrome de Peutz-Jeghers que se asocia a poliposis intestinal).
Examen de la boca y la orofaringe.
Mucosa bucal. Se examina la mucosa bucal (humedad, color, lesiones). En la xerostomía se produce poca saliva y la boca está seca; en una candidiasis bucal o muguet (infección por Candida albicans) se presentan múltiples lesiones blanquecinas; las aftas bucales son lesiones ulceradas, habitualmente ovaladas, rodeadas por eritema y son dolorosas. La desembocadura del conducto de Stenson puede aparecer inflamada en cuadros de parotiditis infecciosa (paperas). En insuficiencia suprarenal (enfermedad de Addison) pueden verse zonas de hiperpigmentación (melanoplaquias o melanoplasia). Las leucoplaquias o leucoplasias son lesiones blanquecinas, planas, ligeramente elevadas, de aspecto áspero, que pueden ser precancerosas.


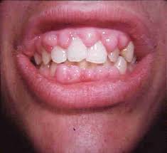
Dientes. Conveniente fijarse si están todas las piezas dentales, si existen caries o prótesis (de la arcada superior o la inferior). Un paciente está desdentado o edentado si ha perdido sus dientes. La mordida se refiere a la oclusión de los dientes y normalmente los molares superiores deben apoyarse directamente sobre los inferiores y los incisivos superiores deben quedar discretamente por delante de los inferiores. Las alteraciones de la mordida pueden llevar a un trastorno doloroso a nivel de las articulaciones témporo-mandibulares, especialmente al masticar. También se le pide al paciente que abra y cierre la boca para buscar si a nivel de las articulaciones témporo-mandibulares se produce una discreta traba o resalte, o si la boca se abre y se cierra con desviaciones anormales.

Encías. Observar el aspecto, coloración, aseo, acumulación de sarro en el cuello de los dientes. Algunos medicamentos, como la fenitoína, producen una hipertrofia de las encías. La gingivitis es una inflamación de ellas. En cuadros hemorragíparos se pueden ver signos de hemorragias o petequias. Una línea azul-negruzca en el borde de la encía puede deberse a una intoxicación crónica por plomo o bismuto. También se debe observar si existe una retracción de las encías que deja a la vista parte de la raíz de los dientes (gingivitis crónica y periodontitis).
Lengua. Normalmente presenta algo de saburra, pero en cuadros febriles y por falta de aseo, aumenta. Un aspecto como mapa geográfico (lengua geográfica) o con surcos profundos (lengua fisurada o cerebriforme), no significa enfermedad. En las glositis la lengua está inflamada y se ve roja y depapilada. Puede deberse en deficiencia de vitaminas, especialmente del complejo B. Con el uso de antibióticos, ocasionalmente, puede desarrollarse una coloración negruzca en el dorso de la lengua asociada a hipertrofia de las papilas. También es sitio de tumores, úlceras, aftas, leucoplasias. Como parte del examen neurológico se examina la protrusión de la lengua y sus movimientos. Cuando existe una parálisis del nervio hipogloso de un lado (XII par craneal), la lengua protruye hacia el lado de la parálisis del nervio. En enfermedades asociadas a denervación se pueden ver contracciones de grupos de fibras musculares (fasciculaciones).


Paladar. En el paladar duro pueden haber hendiduras como parte de un labio fisurado. La presencia de una prominencia ósea en la línea media (torus palatinus), no tiene mayor significado patológico. Se pueden encontrar petequias, úlceras, signos de candidiasis, tumores (p.ej.: tumor de Kaposi). En el paladar blando, que viene a continuación, interesa ver sus movimientos que dependen de la inervación del glosofaríngeo (IX par craneal) y el vago (X par craneal). Cuando existe un compromiso del X par craneal en un lado, al pedir al paciente que diga "AAAH... ", un lado del paladar se eleva mientras que el otro no lo hace, y la úvula se desvía hacia el lado que se eleva.

Orofaringe. Se le pide al paciente que abra la boca y se ilumina con una linterna. Con frecuencia es necesario usar un baja lenguas que se apoya entre el tercio medio y el posterior. Para deprimir la lengua no conviene que el paciente la esté protruyendo. Algunas personas tienen un reflejo de arcada muy sensible que puede hacer imposible usar un baja lenguas. Al mirar la orofaringe, se aprovecha de examinar las amígdalas. Cuando estas tienen una infección purulenta se ven con exudados blanquecinos y el enfermo presenta fiebre elevada, odinofagia, pésimo aliento, adenopatías submandibulares y cefalea. Las causas más frecuentes son una infección por estreptococos o una mononucleosis infecciosa. A veces se encuentra en alguna cripta amigdaliana una formación blanquecina que se debe a acumulación de desechos celulares y restos de comida; también puede corresponder a concreciones calcáreas (tonsilolito).
Glándulas salivales. En las parótidas y las submandibulares se pueden presentar litiasis que obstruyen el conducto principal y generan dolor y aumento de volumen. También pueden ser sitio de infecciones: las paperas comprometen las parótidas (parotiditis infecciosa); en pacientes con sequedad de la boca, mal aseo bucal y compromiso inmunológico se pueden presentar infecciones purulentas. Las parótidas crecen en algunas enfermedades como en la cirrosis hepática (hipertrofia parotídea): se observa un abultamiento detrás de las ramas de la mandíbula que puede levantar un poco el lóbulo de las orejas.
Palpación de la Boca
Toda área sospechosa en la cavidad oral debe ser siempre palpada, al igual que la base de la lengua ya que es un área que no se visualiza en el examen físico.
El médico debe colocarse un guante en la mano derecha y con el dedo índice debe palpar cuidadosamente la mucosa oral en busca de induración, infiltración, ulceración o áreas dolorosas
Al palpar el piso de la boca y la cara interna de las mejillas debe realizar una palpación externa simultánea con su mano izquierda, esto lo ayudará a determinar mejor la presencia de alteraciones en la consistencia de las glándulas sublingual, submandibular o parótida, respectivamente, o determinar la existencia de cálculos.
Es necesario palpar la articulación témporomandibular en busca de resaltes, crépitos, asimetrías y dolor.
Finalmente deben palparse ambas glándulas parótidas para evaluar diferencias de tamaño entre ellas. Buscar aumento de volumen difuso o localizado, alteración en la consistencia o presencia de nódulos firmes y cambios de coloración.
Lesiones de la cavidad bucal

La lesión mas importante de la cavidad bucal es el cáncer puede producirse en cualquier zona de la boca, pero generalmente respeta el dorso de la lengua por delante de las papilas circunvalares, sus lugares de elección son los lados y superficie inferior de la lengua, su base y el suelo de la boca, los bordes alveolares y la mucosa bucal. Cualquier ulceración debe hacer sospecha de cáncer.
Cáncer de la lengua

El tumor maligno mas frecuente de la cavidad bucal, aparece en la base de la lengua o a lo largo de los bordes o superficie inferior, y suele extenderse al suelo de la boca. Sus características macroscópicas son las de una ulcera necrótica indurada. Las metástasis son frecuentes y precoces, los ganglios submaxilares y submentonianos suelen ser los primeros afectados en las lesiones de los dos tercios anteriores de la lengua, los cervicales profundos se infartan en el cáncer del tercio posterior de la lengua.
Cáncer del labio

Se observa en varones después de los 50 anos. Aparece como interrupción superficial de la mucosa a nivel de la unión mucocutanea, o como excrecencia verrugosa. Puede tener aspecto fungoso, pero generalmente se funden como ulceras indurada, indolora. Las metástasis son tardías. Las lesiones situadas en el centro del labio suelen invadir los ganglios submentonianos; las situadas en los lados se difunden primero a los ganglios submaxilares. El labio inferior es afectado con mucha mayor frecuencia que e; superior.
Lesiones benignas de la lengua

Su humedad es indicación de buena hidratación, siempre que el paciente no respire por la boca.
En los estados de avitaminosis se observan cambios significativos. En la arriboflavinosis, las papilas están aplanadas y la lengua tiene aspecto de cuero y color pardo rojizo obscuro. En la pelagra, el epitelio de la lengua se ulcera superficialmente y deja una superficie cruenta dolorosa. Una lengua ulcerada y dolorosa recubierta de placas blanquecinas, que permiten descubrir monilia con frotis directo y pro cultivo, es complicación frecuente de la terapéutica antibiótica prolongada e intensa.
Las fisuras horizontales de la lengua son lesiones congenitas sin significado clínico, pero las longitudinales son características de la sífilis. El prurito y ardor que suelen percibir los enfermos les hace pensar que sufre de cáncer avanzado.
Las ulceras benignas de la lengua proviene de traumatismos, irritación por dientes enfermos o mellados, dentadura mal adaptadas e inflamaciones.
La tuberculosis produce una lesión superficial muy dolorosa de la lengua.
Lesiones benignas de labios, dientes y mucosa
Herpes labial:
esta lesión aguda, aparece en forma de una placa dolorosa elevada de color rojo redondeada, con costras, nivel de la mucosa del labio su breve duración y la ausencia de ulceración e induración le caracterizan como herpes labial común.
esta lesión aguda, aparece en forma de una placa dolorosa elevada de color rojo redondeada, con costras, nivel de la mucosa del labio su breve duración y la ausencia de ulceración e induración le caracterizan como herpes labial común.
Gingivitis:
se caracteriza por enrojecimiento e hipersensibilidad de las encías. La superficie de esta sangra fácilmente y del margen de la encía se desprende a veces exudado purulento.
se caracteriza por enrojecimiento e hipersensibilidad de las encías. La superficie de esta sangra fácilmente y del margen de la encía se desprende a veces exudado purulento.
La línea saturnina (intoxicación plúmbica) aparece en forma de una hilera de puntos negros grisáceos que se extiende horizontal e inmediatamente por debajo del borde libre de la encía.
Chancros:

la sífilis primaria produce en el labio un nódulo que parece botón, de consistencia firme e indolora. Si se ulcera, puede simular el cáncer. Casi siempre están afectados los ganglios linfáticos cervicales superficiales o submentoniano.
la sífilis primaria produce en el labio un nódulo que parece botón, de consistencia firme e indolora. Si se ulcera, puede simular el cáncer. Casi siempre están afectados los ganglios linfáticos cervicales superficiales o submentoniano.
Épulis:
se trata de un tumor nodular característico, de color pardo rojizo que aparece en la parte externa del borde alveolar, de consistencia firme, indoloro a la palpación. Generalmente de origen inflmatorio, algunas veces puede constituir una verdadera neoplasia.
se trata de un tumor nodular característico, de color pardo rojizo que aparece en la parte externa del borde alveolar, de consistencia firme, indoloro a la palpación. Generalmente de origen inflmatorio, algunas veces puede constituir una verdadera neoplasia.
Dientes de Hutchinson:
Son manifestación de sífilis congénita; en la actualidad constituyen verdadera rareza. Están afectados los incisivos superiores centrales; la base de cada diente es ancha, y la superficie de mordedura es estrecha y dentada.
Son manifestación de sífilis congénita; en la actualidad constituyen verdadera rareza. Están afectados los incisivos superiores centrales; la base de cada diente es ancha, y la superficie de mordedura es estrecha y dentada.
Quistes epiteliales: suelen observarse en el suelo de la boca. Los deltoides a veces se hallen en la línea media constituyendo nódulos redondeados, duros ligeramente quísticos. Una ránula aparece como hinchazón superficial tensa, de color azulado, translucida, a uno u otro lado del frenillo. En su superficie puede distinguirse el orificio del conducto de wharton. Los quiste del suelo de la boca deben palparse con cuidado utilizando las dos manos. Los quistes del conducto tiro gloso hacen prominencia en k suelo de la boca y se identifica por su situación en la línea media y su extensión hacia abajo en dirección del cuello.
Melanosis de la mucosa bucal y poliposis intestinal (síndrome de de peutz-jeghers):
es un síndrome notable que se caracteriza por depósitos de melanina en la piel y mucosa bucal acompañado de poliposis del intestino delgado. A menudo acompañado de anemia.
es un síndrome notable que se caracteriza por depósitos de melanina en la piel y mucosa bucal acompañado de poliposis del intestino delgado. A menudo acompañado de anemia.
Lesiones de orofaringe
Amígdalas: la simple presencia de una amígdala ligeramente aumentada de tamano
No es normal. Las criptas amigdalinas pueden contener detritus, pero ello por si solo carecen de significado.
Amigdalitis aguda: el principio es brusco con fiebre y dolor de garganta, las amígdalas están hinchadas y enrojecidas. La superficie suele estar cubierta de manchas blancas formadas por el exudado que salen de las criptas amigdalinas.
Amigdalitis crónica: esta puede adoptar formas diversas, a veces hay hipertrofia de las amígdalas palatinas acompañada de hipertrofia de las amígdalas faríngea (adenoides) que produce obstrucción nasal parcial y disminuye le audición.
Abscesos peri amigdalinos: en el absceso peri amigdalino agudo, el paciente tiene dificultad para abrir la boca. La zona amigdalar esta intensamente edematosa e hinchada. La amígdala afectada se desplaza hacia el lado opuesto.
Tuberculosis amigdalar: las amígdalas muchas veces son asiento primario de tuberculosis cervical. Puede haber muy poco cambios en el aspecto de la amígdala, o hallarse deformada o hipertrofiada. Los linfomas pueden invadir la amígdala, produciendo hipertrofia de superficie lisa.
Absceso retro faríngeo: el paciente suele ser un niño. La lesión aparece como protrusión de la pared faríngea posterior. Debe palparse cualquier proceso inflamatorio sospechoso de esta zona manteniendo e paciente en posición de trendelenburg.
Glándula parótida
Normalmente no se ve ni puede limitarse por palpación. La abertura del conducto parótido (conducto de stenon) puede identificarse como una pequeña elevación situada a nivel del segundo molar superior, se ve inmediatamente cuando esta inflamada o edematosa.
Parotiditis: por inspección, la glándula hipertrofiada constituye una masa difusa por delante del oído, que se extiende hacia abajo y atrás hasta el ángulo del maxilar. El conducto stenon aparece edematoso y enrojecido cuando se separa la mucosa bucal mediante un depresor.
La gandula inflamada puede delimitarse fácilmente por palpación también puede percibirse la posición distal del conducto stenon introduciendo el dedo en la boca y palpando la mejilla entre el índice y pulgar por encima del orificio del conducto. El diagnostico diferencial entre adenitis preauricular, adenitis cervical y parotiditis puede resultar difícil.
Tumores pleomorfos (combinados) de la parótida: la glándula suele estar crecida difusamente, dura, no sensible y ligeramente movible. Un tumor pleomorfo de la glándula parótida suele crecer lentamente, pero muchos alcanzan un tamano considerable. Aunque es raro que halla metástasis distante o se comprometa el nervio facial, la lesión debe considerarse como maligna. Es común observar recurrencias después de una extirpación incorrecta y que sea progresivamente invasoras, causando gran sufrimiento. El tumor no debe pelearse quirúrgicamente, sino extirparse en bloque por excision total del lóbulo superficial de la glándula.
La lesión puede confundirse con un quiste dermoide si en fase precoz está afectada la parte superficial de la glándula.
Tumor de warthin (cistadenoma papilar linfomatoso): el tumor de warthin es una lesión benigna de la parotida. Es de crecimiento lento, rara vez llega a ser mayor de 1 a 2 cm, y suele poder moverse libremente. Las áreas quísticas pueden adherirse a la piel, puede curar por excision local amplia y no requiere parotidectomia superficial.
Cáncer de la parótida: el cáncer a veces no puede distinguirse de un tumor mixto, pero la fijeza y la dureza pétrea indican carcinoma. La parálisis del séptimo par (facial) constituye excelente signo diagnostico, ya que se observa en el cáncer y es rara en los tumores pleomorfo.
Glándula submaxilar
Se halla situada por debajo de la rama horizontal de la mandíbula, puede percibirse como una masa ovoidea aplanada, lisa, móvil e indolora. Se endurece y es más fácil de palpar en paciente con edad avanzada, pudiendo confundirse con un tumor. El conducto de warthon se abre en la base de la lengua a cada lado del frenillo. Si se seca el suelo de la boca mediante una torunda y se estimula la lengua con un poco de zumo de limón, puede verse salir saliva por el conducto, si no se loga dicha salida por este medio indica obstrucción.
La glándula submaxilar aumenta de volumen es fácil de delimitar por palpación. El examinador puede colocarse por detrás del paciente y pasar sus dedos por debajo de la rama maxilar, pero resulta más eficaz y da mayor información la palpación bimanual con el dedo de una mano en el suelo de la boca y la otra por debajo de la rama maxilar.
La gandula submaxilar es asiento frecuente de inflamación calcárea. Puede estar afectadas por tuberculosis; en ocasiones adenitis tuberculosa afecta a la glándula submaxilar. Los tumores de la submaxilar son menos frecuente que los de la parótida.
Oído.
Oído externo. Se examinan los pabellones auriculares. La implantación normal se verifica trazando una línea imaginaria desde el canto externo del ojo a la prominencia del occipucio: el borde superior del pabellón debe pasar por esta línea o sobre ella. En algunos trastornos cromosómicos la implantación de los pabellones auriculares es más baja. El color y la temperatura de las orejas dependen de distintos factores: están frías y pálidas o cianóticas en ambientes fríos o en situaciones de mala perfusión tisular; rojas o hiperémicas en caso de existir una inflamación; cianóticas cuando existe una mala oxigenación con hipoxemia. Pacientes con gota pueden presentar en la región del hélix (borde externo) unos nódulos que se conocen como tofos (son depósitos de cristales de ácido úrico). El pabellón auricular puede ser sitio de condritis ya que está formado por cartílago. En la zona del lóbulo de las orejas, por uso de pendientes, se pueden observar signos inflamatorios por alergia a metales o infecciones. Por picaduras de insectos pueden verse nódulos inflamatorios o signos de celulitis. Si se desencadena dolor al mover la oreja, podría haber una otitis externa, en cambio, si el dolor se desencadena al presionar sobre el proceso mastoides, por detrás de la oreja, podría hacer una otitis media.
Examen del oído.
Otoscopía. Permite examinar el conducto auditivo externo, el tímpano, y alguna observación se obtiene de lo que pueda estar ocurriendo en el oído medio. Se usa un otoscopio que es un instrumento con una fuente de luz y un juego de espéculos de distinto diámetro. En su parte posterior tiene una lente magnificadora, que se puede retirar o desplazar hacia el lado en el caso que se desee introducir algún instrumento fino. Para efectuar el examen se usa el espéculo de mayor diámetro que calce bien en el conducto auditivo externo y se introduce con una leve inclinación hacia adelante y abajo, hasta ubicar más allá de los pelos. Para examinar el oído derecho, se toma el otoscopio con la mano derecha y se tracciona la oreja con la mano izquierda; lo opuesto es válido para el oído izquierdo. La cabeza del paciente debe estar inclinada un poco hacia el lado opuesto al oído examinado y se debe traccionar la oreja hacia arriba y atrás. Con esto se endereza el conducto y es más fácil ver el tímpano. En la parte más externa del conducto se observan pelos y frecuentemente alguna cantidad de cerumen. En ocasiones el cerumen tapa totalmente la visión. La membrana timpánica en condiciones normales se ve de color gris perlado translúcido. Desde el umbo se proyecta hacia abajo y adelante un cono de luz que corresponde al reflejo de la luz del instrumento; hacia arriba se logra distinguir el mango y el proceso corto del martillo, que son las dos referencias anatómicas más constantes. Por sobre el proceso corto existe una pequeña porción del tímpano, que habitualmente no se distingue bien, que es la pars flaccida; el resto del tímpano corresponde a la pars tensa. Al mirar la membrana timpánica, se busca si existen perforaciones, abombamiento (por congestión del oído medio), retracciones (en el caso de esta tapado el conducto de Eustaquio), cicatrices de antiguas perforaciones. En la otitis media purulenta se produce dolor (otalgia), fiebre e hipoacusia, y en la otoscopía destaca un enrojecimiento del tímpano, pérdida de las referencias anatómicas habituales (visión del martillo y el cono de luz), dilatación de vasos sanguíneos y abombamiento lateral hacia el ojo del examinador.
En el caso de efectuar un lavado de oídos para eliminar un tapón de cerumen, se usa una jeringa grande (idealmente de 50 cc o más) y, usando agua a la temperatura corporal, se dirige el chorro hacia una de las paredes del conducto auditivo externo, de modo de generar un flujo turbulento que remoje, ablande y finalmente remueva el cerumen. El chorro no se debe dirigir directamente al tímpano. Estos lavados no se deben efectuar cuando existe una perforación del tímpano.

Audición. Se estaría evaluando desde el momento que el examinador conversa con el paciente. En la medida que le tenga que repetir las preguntas, o sea necesario hablarle más fuerte, la audición estaría comprometida. Una maniobra para detectar un trastorno más fino consiste en acercar una mano frente a un oído y frotar los dedos: si el paciente lo escucha avala que la audición no está tan comprometida. Otro recurso es acercar un reloj de pulsera de tic-tac.
Pruebas de audición con diapasón. Los diapasones, al activarlos para que vibren, producen un sonido que depende de su calibración. Para evaluar la audición se usan instrumentos que vibren entre 500 y 1000 ciclos por segundo (Hertz, Hz), aunque el oído normal puede reconocer entre 300 y 3000 Hz. Diapasones de menores frecuencias (p.ej.: 128 Hz) se usan en el examen físico para estudiar la sensibilidad vibratoria y no son los más convenientes para evaluar la audición ya que sobrestiman la conducción ósea.

La prueba de Weber consiste en apoyar el diapasón vibrando en la línea media del cráneo o la mitad de la frente. La vibración, y por lo tanto el sonido, se debe transmitir, en condiciones normales, en igual intensidad a ambos oídos. Si existe un defecto de audición, el sonido se lateraliza. Cuando el defecto es de conducción (por alteración a nivel del conducto auditivo externo o el oído medio), la lateralización es al mismo lado. Para comprobar que esto ocurre, ensaye con usted mismo, tapándose un oído mientras se aplica el diapasón vibrando en la frente. Cuando el defecto es sensorial (por alteración a nivel del oído interno o el nervio auditivo), la lateralización ocurre hacia el oído sano.

La prueba de Rinne consiste en apoyar el diapasón vibrando en el mastoides de un oído y medir el tiempo que la persona escucha el sonido de esa forma y, acto seguido, y sin que deje de vibrar el diapasón, se coloca frente al oído, y se mide el tiempo que la persona escucha de esa otra forma. Lo mismo se repite en el otro oído. Lo normal es que el tiempo que se escucha el sonido por conducción aérea (sin que el diapasón esté apoyado) sea por lo menos del doble de lo que se escucha por conducción ósea (mientras el instrumento está apoyado). Cuando existe un defecto en la conducción aérea, se escucha más tiempo el sonido por conducción ósea. Cuando el defecto es sensorial o sensorineural, se escucha más tiempo la conducción aérea, pero no el doble que la ósea, como sería lo normal. Para una evaluación de la audición más completa se solicita una audiometría que se puede complementar con otras pruebas.
Cuello
Inspección
Empiécese por examinar el cuello en busca de simetría, hinchazón, pulsaciones, fistulas o limitaciones de movimiento. Si se extiende el cuello, sometido así a tensión el musculo esternocleidomastoideo, son fáciles de reconocer los límites de los triángulos anterior y posterior.
Es importante identificar las siguientes estructuras: el musculo esternocleidomastoideo, el hueso hioides con sus astas mayores, el cartílago tiroides, la tráquea, la clavícula y las pulsaciones del bulbo carotideo y tercera porción de la arteria subclavia.
Examen del cuello.
Se debe examinar la forma, los movimientos, el tiroides, pulsos carotídeos, pulso venoso yugular, ganglios linfáticos y si existen masas. Los cuellos largos y delgados son más fáciles de examinar. Normalmente la persona debe ser capaz de mover el cuello hacia arriba y abajo, hacia ambos lados, e incluso, efectuar movimientos de rotación. En presencia de una discopatía cervical o lesiones musculares, puede haber dolor y el rango de los movimientos estar limitado.
Ganglios linfáticos. En el examen físico general se mencionan los ganglios linfáticos, pero si las alteraciones se concentran en esta parte del cuerpo se pueden especificar en esta sección. (El examinador tendrá que decidir si la información sobre los ganglios del cuello los menciona en esta parte o en el examen general.)

Glándula tiroides. Se ubica en la parte anterior y baja del cuello, por debajo del cartílago cricoides. Bocio es una glándula aumentada de volumen. La glándula se puede palpar por delante del paciente o colocándose el examinador por detrás. En el primer caso es posible hacerlo estando el paciente acostado en decúbito dorsal o, mejor aún, estando el paciente sentado. El examinador se coloca frente a él y con el pulgar de una mano desplaza un poco la glándula hacia el lado opuesto de modo que ese lóbulo se haga más prominente y sea posible cogerlo con la otra mano entre el pulgar y los dedos índice y medio. Por ejemplo, si se intenta palpar el lóbulo derecho de la glándula, el pulgar de la mano derecha del examinador, colocada sobre el lóbulo izquierdo, empuja la glándula hacia la derecha para facilitar la palpación con la mano izquierda. Lo opuesto se efectuaría para el otro lóbulo. Si el examinador se ubica por detrás del paciente, adelanta sus manos y con sus dedos índice y medio identifica el itsmo del tiroides que se ubica debajo del cartílago cricoides. Moviendo los dedos hacia los lados es posible palpar los lóbulos de la glándula. Con los dedos de una mano es posible presionar hacia el lado opuesto para facilitar la palpación del otro lóbulo. Para asegurarse que las estructuras que se están palpando corresponden al tiroides, se solicita al paciente que trague para palpar la elevación que debe ocurrir junto con la tráquea (a veces es necesario proporcionarle al paciente un vaso con agua para que tome sorbos ya que frecuentemente nota que no tiene suficiente saliva). El diagnóstico diferencial se hace con adenopatías o quistes de otras estructuras.
La glándula tiroides de debe palpar lisa y de consistencia firme. Se debe estimar el tamaño y buscar la presencia de nódulos. Cuando se encuentran nódulos se precisa su ubicación, tamaño, número y consistencia. Hoy en día, la disponibilidad de la ecotomografía ha facilitado el estudio de los nódulos, y es capaz de diferenciar los que son sólidos de los que son quísticos. Cuando la glándula está muy crecida, es posible que con la campana del estetoscopio se pueda escuchar un soplo suave debido al aumento de la vasculatura.
Lesiones del tiroides
Lesiones del tiroides

Hipertiroidismo

El signo de hipertiroidismo que puede descubrirse en la propia glándula es el aumento de vascularización. Son clásicos el thrill palpable y el soplo nudible, pero solo existen en casos muy avanzados.
Hay que tener cuidado, al palpar y auscultar, de no confundir los signos transmitidos desde los vasos carotideos, especialmente en el paciente hipertenso. Hay que vigilar los signos oculares, el temblor, el calor de las manos, el exoftalmos es signo eventual. Generalmente bilateral.
La historia clínica suele tener más valor diagnostico que el examen físico, pero siempre que un paciente con piel fina y manos húmedas y calientes se queje de fatiga, astenia o pérdida de peso, el examinador debe sospechar hipertiroidismo.
Bocio
Si el examen se efectúa en la forma descrita, resulta relativamente fácil descubrir la hinchazón quística difusa de un bocio coloide. El nódulo aislado duro de un adenoma solitario, la glándula irregular de un bocio adenomatoso y la hipertrofia vascular blanda de la enfermedad de graves basedow clásica.
TIROIDITIS

Supurativa aguda
La glándula tiroides es afectada raramente por una infección bacteriana especifica. Esta puede ser secundaria e inflamación de boca, amígdalas o nódulos linfáticos cervicales. Las manifestaciones son fiebre, hipersensibilidad sobre la glándula, disfagia, escalofríos forma abscesos, y raramente supuración.
Subaguda
Este trastorno se observa mucho más frecuente en mujeres que en varones. El principio es súbito con dolor del tiroides, cuello y glándula tiroides. La temperatura puede elevarse hasta 40 o 50 grados celcius.
Bocio de riedel
El comienzo es súbito los primeros síntomas son de compresión traqueal progresiva. La glándula esta substituida por tejido fibroso denso y duro, que suele causar hipertrofia irregular. Inicio insidioso tiroides fibrosas, disfagia disnea, disfonía, la consistencia de la glándula es tal que el proceso no suele poderse distinguir de un cáncer.
Bocio de Hashimoto
El primer síntoma suele ser la presencia de una masa en el cuello. La glándula esta aumentada de tamaño en forma difusa, pero no uniforme, tiene consistencia dura de caucho. Son frecuentes los síntomas de hipotiroidismo ligero. Es común en mujeres de mediana edad. A veces puede ser difícil distinguir el bocio de Hashimoto del cáncer. El padecimiento responde a menudo a la administración de hormona tiroidea. Pero puede requerir operación para aliviar los síntomas de presión o excluir el cáncer.
CÁNCER DEL TIROIDES

Puede iniciar como nódulo solitario duro, pétreo, metástasis ganglios cervicales, adherido a tejidos subyacentes, ronquera, compresión esófago o tráquea. Poco móvil el más frecuente es el papilar.

Pulso venoso yugular. Las venas yugulares se notan en grado variable en las distintas personas. Es frecuente que con la inspiración se tiendan a colapsar ya que con la presión negativa intratorácica se succiona la sangre hacia el tórax; en cambio, durante la espiración, y más aún, al pujar, disminuye la entrada de sangre al tórax y se produce una congestión de las venas y se ven ingurgitadas.
Auscultación
Puede llevarse a cabo la auscultación cuidadosa sobre la arteria subclavia, carótida primitiva, carótida externa e interna. El soplo escuchado tanto sobre la arteria subclavia como sobre la carótida primitiva suele ser transmitido desde una válvula aortica estenotica. El soplo aislado sobre una sola arteria indica estenosis localizada.
Quiste tiroglosoEs un quiste fibroso que se forma de manera persistente en el conducto tirogloso, usualmente en el medio del cuello, no doloroso a la palpación, liso, puede infectarse y formar una fistula y se vuelve doloroso. Se utiliza la maniobra de Hamilton Bailey.Quiste y fistula branquialPor delante del musculo esternocleidomastoideo en la división carótida, Remitente, liso, indoloro, Puede infectarse, a veces se presenta como fistula.
Higroma quístico
Es un tumor que a menudo se presenta en el área de la cabeza, cuello y axilas . Es una anomalía congénita.TorticulisEs un tipo de distonía (contracciones musculares prolongadas) en que los músculos del cuello, particularmente el músculo esternocleidomastoideo tiene una rigidez dolorosa, se contraen involuntariamente y hacen que se incline la cabeza con limitación de movimientos. Puede ser congénita o adquirida.Tumores del cuerpo carotideoSon neoplasias altamente vascularizadas, muy poco frecuentes y generalmente benignas, en la bifurcación de la carótida.







No hay comentarios:
Publicar un comentario